実際に矯正治療を受けている
\歯科カウンセラーが説明します/
マウスピース矯正についての
ご予約・ご相談は、お電話にて
お気軽にお問い合わせください
当日の予約も可能です。
是非お気軽にお問い合わせください。
矯正治療について、
こんな"お悩み"や"不安"は
ありませんか?
- 矯正すると食事するのが辛そう・・・
- 矯正は痛みがありそうで不安・・・
- 歯に器具をつけるとむし歯が心配・・・
- 矯正治療しているのを人に気付かれたくない・・・
- 本当に治るのか不安・・・
- 忙しいのでなかなか通えない・・・
- 治療期間が長い・・・
- 費用がどれくらいかかるのか分からず不安・・・
- もっとキレイになりたい!

くらとみ歯科クリニックでは
矯正専門医との提携による矯正治療で解決できます!
「マウスピースだけでは歯がきれいにならない」と聞いたんですが・・・
\そうなんです/
実際には、マウスピース矯正だけで治る
患者様もいますが、
部分的にブラケット矯正を併用して矯正すると、
早く、ずっとキレイな歯並びと
健康的な噛み合わせができるのです!
というのは、
不正咬合にはこんな種類があります。

叢生

上顎前突

下顎前突
※他にもあります
これらをほうっておくと、
- 今より見た目が悪くなったり
- 歯周病が進んでしまったり
- 歯への負担が一部に集中するため、その歯を失う
- 余分な歯科治療が必要となってしまう可能性が高い
のです!
これらを解決できるのが、
当院での矯正治療
「インビザライン」「インシグニア」
です!
\目立たない・取り外しできる/
マウスピース矯正「インビザライン」
\マウスピース矯正をより正確にする/
ブラケット矯正「インシグニア」
このような事でお悩みの方は
マウスピース矯正「インビザライン」がオススメです!

- 歯並びを治したいけど、歯に固定する装置を使いたくない!
- 人に矯正治療をしていることを仕事柄知られたくない!
- 矯正治療をしたいけど、食事や歯磨きの時など邪魔になる!
このような方におススメなのがマウスピース矯正(インビザライン)です。
透明なマウスピース矯正
(インビザライン)の特徴

自由に取り外しができて
目立たない
ワイヤー・金具がない透明のマウスピースを使用。透明だからきづかれにくく、人前でのお仕事の方も安心です。
食事中も衛生的で快適
取り外しできるから、食べ物が挟まる不快感もなく、口の中を清潔に保てるのでむし歯の心配もありません。
口の中を傷つけず
快適な着け心地
矯正期間が3年~4年程度とより短く、通院回数も少なく忙しい方にも安心です。
自宅で装置を交換できる
少ない来院回数でも治療できるので、忙しい人でも安心です。
金属アレルギーの方でも問題なし
アレルギーを気にせず矯正治療できます。
コンピューター解析
シミュレーションできる
どのようにして治るかを事前にイメージできます。
費用がオールインパッケージで
追加費用一切なし
治療費総額85万円(税込935000円)通院時一回4000円(税込4400円)
5年間は何度でも装置の作り替えは無料

世界が認めた、完全オーダーメイドのマウスピース矯正
世界80国以上で340万人を超える人たちが治療を受けています。当院では世界シェアNo1のインビザライン社と提携して治療を行っています。

ホワイトニングが同時にできる
インビザラインのマウスピースを使い、同時にホワイトニングが可能です。マウスピース矯正だけでは難しい
歯並びの方には
ブラケット矯正「インシグニア」
を使用します!

- マウスピース矯正では治りにくいと言われた・・・
- マウスピースをつける自信がない・・・
- 矯正は痛みがありそうで不安・・・
- キレイな歯並びをしっかりと作りたい・・・
このような方におススメなのがブラケット矯正「インシグニア」です。
ブラケット矯正「インシグニア」
の特徴

100%患者さん個々に
デザインされた矯正装置
存の装置ではなく、オーダーメイドの矯正装置が完成します。
コンピューター上で
理想的な3Dモデルを作成
治療のスタートからゴールまでシミュレーションできるから、治療の効率と成果が高まります。
治療期間の短縮
患者さんに合わせた装置とポジショニングで理想的な位置に装着。そのため歯の動きに無駄がなくなり、治療期間が短縮されます。院長 蔵富 康浩のご紹介
くらとみ歯科クリニック
院長 蔵富 康浩
- 2003年
- 国立岡山大学歯学部 卒業
- 2010年
- くらとみ歯科クリニック 開院
- 所属学会
認定医など - 顎咬合学会会員
咬み合わせ認定医
日本口腔インプラント学会

今まで矯正治療をあきらめていた方へ
当院では患者さんの大切な歯を治療するにあたり、治療内容の説明を十分にすることを心がけております。
どのような歯並びの方にも矯正治療が提供できるように、当院では、マウスピース矯正とブラケット矯正の両方を用意しております。
患者さんのお口の状態に合った治療方法を選ぶことで、より短い期間で、より正確な治療を提供することが出来ます。
より多くの方々が安心して矯正治療を受けていただけるよう、スタッフ一同努めて参りますので、どうぞよろしくお願いいたします。 !
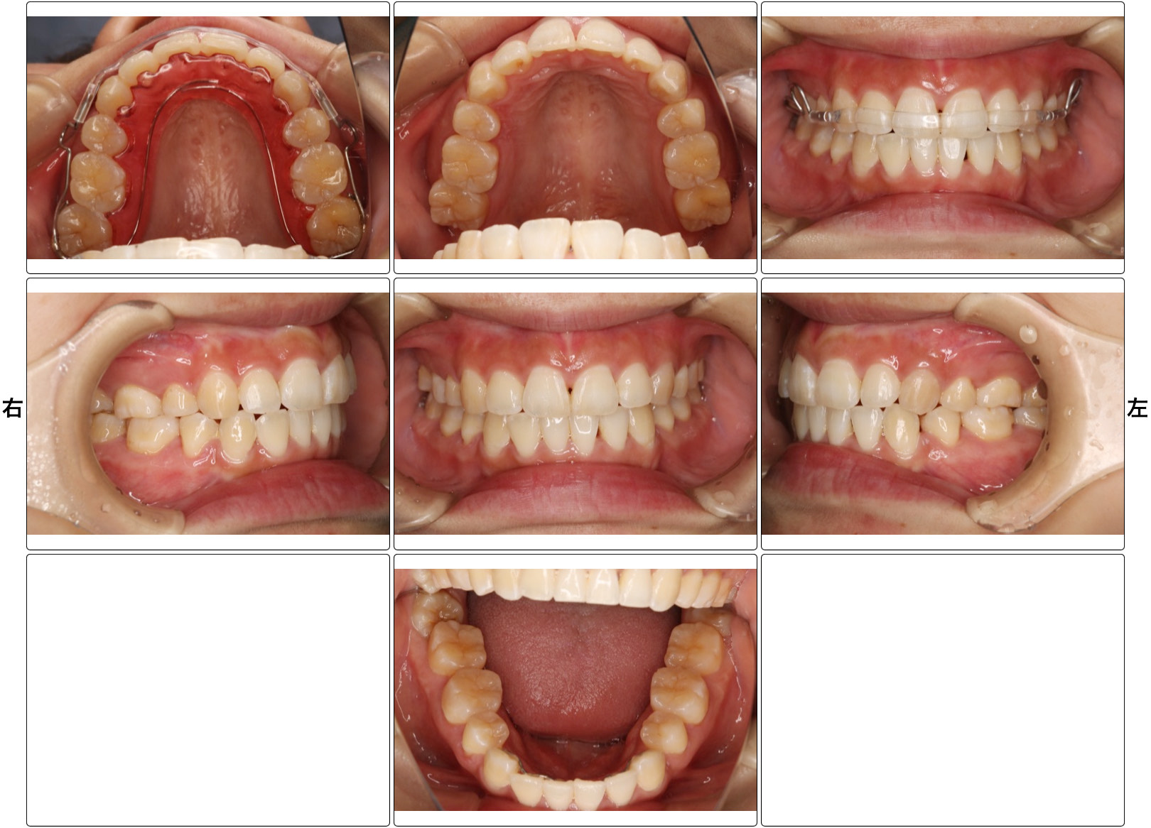
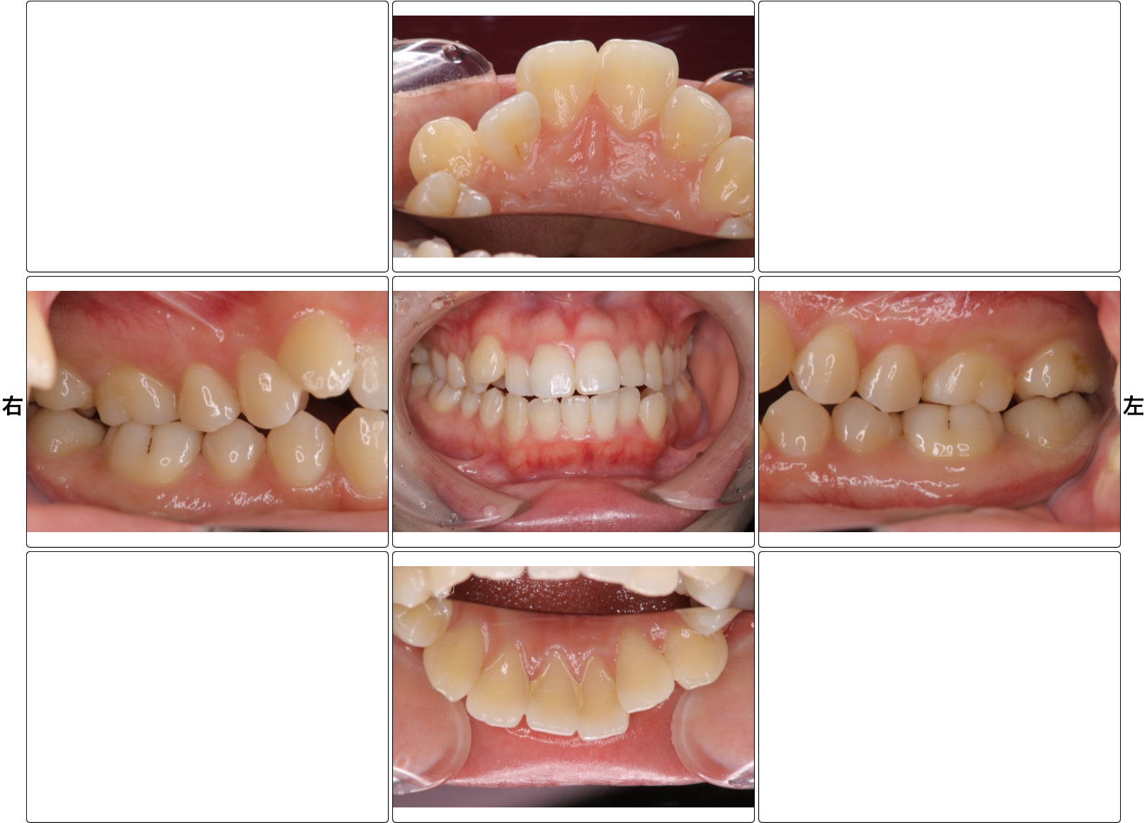
矯正治療の症例
- 治療の説明
- ブラケット矯正を行いました。
上下顎前突、叢生、オープンバイトの患者様です。上下左右4番目の歯を抜歯し、マルチブラケットを使用して歯並びを治しました。 - リスク
- 痛みを伴う可能性がある。口内炎が出来る可能性がある。歯根吸収の可能性がある。ブラックトライアングルができる可能性がある。
- 費用
- 85万(税込935,000円)〜、+調整料
費用・料金の目安
矯正相談や、AIを使った
パソコンによる
未来の歯ならび診断は
無料となっております。

当院で矯正治療を受けた後の
あなたの未来のキレイな歯並びを見て頂くことができます!
インビザライン総額
85万円(税込 93,5万円)
- 調整料
- 4,000円(税込 4,400円)
- 120回払い
- 月々9,900円(初回35,000円)
- 60回払い
- 月々17,300円(初回18,260円)
- 12回払い
- 月々77,300円(初回78,230円)
インシグニア総額
85万円(税込 93,5万円)
- 調整料
- 5,000円(税込 5,500円)
- 120回払い
- 月々9,900円(初回35,000円)
- 60回払い
- 月々17,300円(初回18,260円)
- 12回払い
- 月々77,300円(初回78,230円)
当院のマウスピース矯正、インシグニア矯正は、医療費控除の対象となります。
(美容外科などはなりませんが、マウスピース矯正とインシグニア矯正は治療として受けることが可能です)
※年収によって 100,000円~200,000円程度、控除されます。
マウスピース矯正(インビザライン)
治療の流れ
事前にお電話で予約時間をおとりください。
来院の際は、保険証と診察券をお持ちください。
十分な時間をとって専門スタッフがお話をお伺いします。
まず、むし歯や歯周病がないかなど診査を行います。
その後、口内スキャンと写真撮影を行い、AIによる簡易診断(無料)を行います。
AI簡易診断では治療前と治療後の歯列をコンピューターでのシミュレーションで見て頂けます。
精密診断の結果、治療計画をコンピューターのシミュレーションを動画でお見せします。
診療費や治療期間についても詳しくお話しさせていただきます。
この場で矯正治療をするかの決定をする必要はございません。
一旦ご自宅でじっくりとお考えいただきご検討頂くことも可能です。
私たちは、患者さんのお気持ちを第一に考えます。
注意点を詳しく説明します。
その後は1-2ヶ月おきに通院していただきます。
よくある質問
-
Qマウスピース矯正の装置は目立ちますか?A
0.5mmの透明なマウスピースを使用しますので、他の人に気付かれることは、ほとんどありません。
-
Qマウスピース矯正に痛みはありますか?A
マウスピースを交換して数時間は圧迫感を感じることがありますが、痛むことはほぼございません。
-
Qマウスピース矯正は、何歳からできますか?A
永久歯がすべて生えそろった状態から可能です。
目安としては10歳頃からとお考えください。 -
Qマウスピース矯正中に食べられないものはありますか?A
マウスピース矯正は取り外しが可能です。
食事中はマウスピースを外して、いつも通りに、美味しく食事をすることができます。 -
Q装着時間はどれくらいですか?A
基本的に1日20時間以上装着していただく必要があります。
食事と歯磨きの時間以外は、装着していただければと思います。 -
Qインシグニア矯正は、何歳からできますか?A
永久歯がすべて生えそろった状態から可能です。
目安としては18歳頃からとお考えください。 -
Qインシグニア矯正中に食べれないものはありますか?A
特にありません。いつも通りに美味しく食事をすることができます。
-
Qインシグニア矯正の治療期間はどれくらいですか?A
状態によりますが目安は2〜3年です。
くらとみ歯科クリニック





- 医院名
- 医)健晃会 くらとみ歯科クリニック
- 医院長
- 蔵富 康浩(くらとみ やすひろ)
- 住所
- 〒567-0012
大阪府茨木市東太田1-5-36 - 電話番号
- TEL.072-657-7476
- 交通アクセス
- JR「摂津富田駅」「JR総持寺駅」徒歩15分
ロピアさん向かい
国道171号線「三島丘」北にまがってすぐ
| 月 | 火 | 水 | 木 | 金 | 土 | 日 | |
|---|---|---|---|---|---|---|---|
| 9:30~13:30 | ● | ● | ● | ● | ● | ● | / |
| 14:30~17:30 | ● | ● | ● | ● | ● | ● | / |




